Weiterbildung

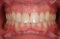
SKY elegance Abutments – individuelle Abutments mit „White Shade“ und…

SKY elegance abutments von bredent medical; Foto: Dr. Manolakis, SalonikiDunkle Schatten im Zahnfleischsaum können das Ergebnis von Implantatversorgungen genauso beeinträchtigen,…

13 Jahren ago

VDR-Akademie bildet fünf Geschäftsreise-Spezialisten aus

Alle Teilnehmer haben IHK-Lehrgang erfolgreich bestanden Die Absolventen des zweiten IHK-Lehrgangs Spezialist/-in für Geschäftsreiseorganisation (IHK)Die Akademie des deutschen GeschäftsreiseVerbands VDR…

13 Jahren ago

Was ist eigentlich Qualität?

Das Qualitätsprädikat für seine Produkte nimmt heute fast jeder Lieferant für sich in Anspruch. Aber was können Kunden denn nun…

13 Jahren ago

Periimplantitis erfolgreich behandeln mit der HELBO-Therapie: 1-Jahresdaten im Vergleich zur…

Periimplantitis erfolgreich behandeln mit der HELBO-TherapieDie Mediziner sind sich einig: Immer mehr Krankheitserreger entwickeln zunehmend Resistenzen gegen Antibiotika. Die HELBO-Therapie…

13 Jahren ago

Zahnmedizinische Abrechnung in der Tasche – BEMA PocketLine

Die "PocketLine" von Spitta gehört zu einer neuen Reihe von Nachschlagewerken für die zahnmedizinische Abrechnung in handlicher Kompaktgröße. Der erste…

13 Jahren ago

SKY uni.cone Abutments – schmale Kiefer mit Brücken und Stegen…

SKY uni.cone Abutments von bredentSeit über sechs Jahren hat sich das SKY fast & fixed System im Markt bewährt und…

13 Jahren ago

Studienpreis 2013: Dreifache Ehrung für die Euro-FH und ihre Absolventen

Hamburg. Neue Karrierechancen oder Impulse für den aktuellen Job gewinnen, Kompetenzen nachweisen oder veraltetes Wissen auffrischen - die Motive für…

13 Jahren ago

Technische Akademie Wuppertal erweitert Seminarprogramm

TAW stärkt Themenbereiche Technik, Qualität und Kommunikation After-Work-Seminare starten im zweiten Halbjahr Technische Akademie Wuppertal445 Katalogseiten, über eintausend Seminare, plus…

13 Jahren ago

Ein Jahr Weiterbildungsblogger – Eine Erfolgsgeschichte

Tipps, Tricks und nutzwertige Infos rund um EDV/IT, Office und Personal- und Organisationsentwicklung Vor einem Jahr startete die team babel…

13 Jahren ago

Mit dem TiSi.Snap Abutment einfach und preiswert zu implantatgetragenen Vollprothesen

TiSi.Snap Abutment von bredentMit TiSi.Snap Abutment ist es bredent gelungen, eine der preiswertesten, einfachsten und sichersten implantatprothetischen Lösungen für zahnlose…

13 Jahren ago